Национальный медицинский исследовательский центр кардиологии НИИ Клинической кардиологии им. А.Л. Мясникова
Отдел рентгенэндоваскулярных методов диагностики и лечения
г. Москва, 3-я Черепковская улица, 15А
ЗАОЧНАЯ КОНСУЛЬТАЦИЯ
МЕДИЦИНСКИЕ КАЛЬКУЛЯТОРЫ
ПРОФИЛАКТИКА ИНСУЛЬТОВ
8 (800) 150-44-19
8 (499) 394-33-04
8 (495) 201-68-33
Фракционный резерв кровотока (ФРК) – инвазивный метод диагностики значимости стенозирования артерий. Фракционный резерв кровотока в настоящее время «золотой стандарт» для оценки функциональной степени тяжести стенозов коронарных артерий.
Фракционный резерв кровотока
Определение
Техника проведения
Данное исследование проводят во время диагностической коронарографии или уже после вмешательства. Техника выполнения заключается в проведении специального датчика давления в коронарную артерию. Измеряется давление перед стенозом (как правило данный метод используют при пограничных стенозах (от 40-70 %)). После измерения давления перед стенозом датчик заводится за стеноз и вызывается полнокровие (гиперемия) миокарда путем введения специального препарата (папаверин). Затем измеряется давление за стенозом и рассчитывается градиент давления. Соответственно значению градиента давления решается вопрос о дальнейшей тактики лечения и правильности установленного стента.
Датчик ФРК подсоединен к тому же аппарату, на котором проводится анализ ВСУЗИ, производства Volcano (Калифорния, США), а установка датчика проводится под рентгеноскопическом контролем.
Фракционный резерв кровотока имеет нормальное значение 1,0, одинаковое для каждого пациента, каждой артерии и каждого участка миокарда. Абсолютную норму легко интерпретировать, но она редко встречается в клинической практике.
У нас накоплен огромный опыт в проведении данного исследования и мы давно убедились, что ангиографическая картина стеноза и значимость сужения могут отличаться. Для примера реальный случай из клинической практики полного несоответствия между фракционным резервом кровотока и данными коронарографии.
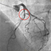
Пациент К., 70 лет, боли за грудиной, чувство нехватки воздуха при физической нагрузке, максимальные цифры артериального давления до 180/90 мм рт.ст., результат нагрузочной пробы (Тредмил-Теста) – проба сомнительная (типичный болевой приступ за грудиной, без изменений на ЭКГ).
Больному проводится коронарография, где выявлен стеноз одной из коронарной артерии около 30-40%, далее этому пациенту определяется ФРК и оказывается, что пограничный стеноз является значимым и требует стентирования, что полностью несоответствует ангиографической картине.
Сравнение коронарографии и коронарографии совместно с определением фракционного резерва кровотока
Данный пример еще раз показывает значимость и необходимость проведения дополнительных диагностических методов в дополнении к стандартной коронарографии.
При результате ФРК от 0,75-0,80 решения по дальнейшей тактики лечения принимаются индивидуально в отношении конкретного пациента, основываясь на другие данные.
После стентирования фракционный резерв кровотока должен быть более 0,94. Если значение ФРК после имплантации стента меньше нормы, это может говорить о не полном раскрытии стента.
Фракционный резерв кровотока имеет установленные границы нормы с узким диапазоном от 0,75 до 0,80. Для принятия решений в отношении конкретного пациента крайне важно снизить уровень неопределенности до минимума. При значении ФРК < 0,75 стеноз, как правило, способен вызывать ишемию миокарда (недостаток кислорода сердечной мышце), в то время как при ФРК > 0,80 стеноз практически никогда не вызывает ишемию и в данном случае нет необходимости в проведении стентирования.
Made on
Tilda